あゆみの療育 シーモンスターのふ化じっけん
こんにちはいつもキッズサポートあゆみのブログをお読みいただきありがとうございます。さて今回の療育内容は「シーモンスター」についてお伝えしたいと思います。

あゆみでは以前もお知らせしたように「生き物」を観察したりふれあったりということを積極的に取り入れていますが、今回はみんなで卵から生き物をふ化させるという活動を行いました。
ところで皆さんは「シーモンスター」ってご存じですか?
そのまま訳すと「海の怪物」でしょうか⁉

実はブラインシュリンプと呼ばれ、「アルテミア」とも言われている水生の生物のことです。
乾燥した卵は20年以上経ってもふ化すると言われており、ペットショップの熱帯魚の餌として販売されています。(昔は「小学〇年生」とか「〇年の科学」とかいう雑誌の付録や、通信販売で人魚のイラストとともに「シーモンキー」や「おばけエビ」という何やら怪しげな生物の卵として販売されていたものです)
今回の療育活動の効用は
1.生命の誕生を感じ、命について学ぶきっかけになります。
2.好奇心や感受性といった情緒を育むことができます。
3.興味を持って調べること、知ることの楽しさを感じることができます。
などが挙げられます
この活動の前に用意しておくものは
- ブラインシュリンプの卵 (ペットショップで購入できます)
- 人工海水 (ペットショップで購入できます)
- プラコップ(透明で卵を観察できるようなものなら何でもよい)

1.子どもたちは手を洗った後、イスに座ります。
2.スタッフは子どもたちに「今から不思議なものを見せます」と言って卵を取り出します。
「何でしょうか?」子どもたちの思い思いの答えで笑いましょう⁈
3.「アルテミア」の説明をします。(事前に用意しておいたアルテミアの動画を見せます)
4.子どもたちの前で実際に「人工海水」を作り、各自の名前が入ったプラコップの中に入れます。
5.スタッフがそれぞれのコップに、ブラインシュリンプの卵を入れていきます。
(この日はこれでおしまいです。2~3日後にもう一度、子どもたちを集めて後半の活動に入ります)
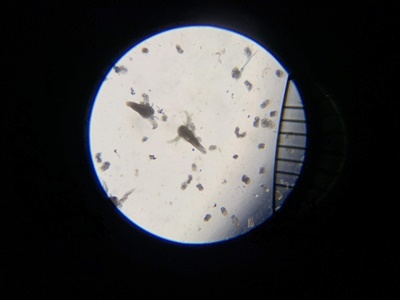
6.子どもたちに各自のプラコップを配り、順番にマイクロスコープでふ化したシュリンプを観察します。
(スクリーンで拡大してみんなで見ますが、各テーブルには虫眼鏡も置きました)

7. 各自にエサを配り、自分のコップのシュリンプにエサを与えてもらいます。
ふ化したシュリンプはそれぞれのプラコップにたくさん見つけることができます。
100匹以上はいるのではないかと思います。
最初は「気持ち悪い」とか「興味ない」などと話していた子どももいましたが、だんだんと愛着が湧いてきたのか学校から帰ってくると、自分のコップを手に取り中の小さな生き物を眺めながら「かわいい」「どれくらいまで大きくなるの?」「持って帰りたい」という子どもの様子を見るようになりました。

1mmにも満たない小さい生き物ですが、少しずつ成長して1.5㎝くらいに成長するようです。
これからの成長が楽しみです。
あゆみの療育は、本やテキストだけでなく、昆虫や生き物などを通じて、命の大切さを学ぶことも重視しています。
ただし、お家に持って帰ることは基本しませんのでご安心ください。(( ´∀` )
現在、あゆみは新年度のお子様の受付を開始しております。
お気軽にこちらからお問い合わせください。
あゆみのホームページをこちらからご覧ください。
あゆみのTwitterは、こちらから
あゆみのInstgramは、こちらから
あゆみのFacebookは、こちらから
あゆみのYouTubeチャンネルはこちらからどうぞ
------------------------------------------------------------------------------------------
あゆみの療育に興味をお持ちの方は、お気軽にお問い合わせください。
電話番号(076-237-2533)
HPからもご予約いただけます。
担当 西尾
2022年10月17日 10:44
